名醫一點通 100doctors

10/31/2014

人到中年,有如改裝中的中古屋啊!

文,黃秀美


昨天早上去看工地,戴了一個多小時的工地帽,瀏海都塌了,
想想中年,就像沒辦法打掉重蓋,必須原地改裝的工地,暫時
無法見人,卻仍在加緊趕工中〈笑〉! 

今年滿45歲,照理說,也當中年人好些年。

以前曾聽過,「中年是第二青春期」的說法,現在似乎能夠多理解一些些。

直到今年,甚至可以說是直到最近,才能夠理解到

身為中年人是什麼感覺。

中年人需要什麼?

中年人的健康,跟年輕人的健康,老年人的健康,在肉體跟思維上,有什麼具體差異。

最近,經常問的問題,是直接以「中年人」為開端,我想這是一個新的思維方式。

在走過兒童、青春,即將踏入老年之前,孩子已進入青春期,生命日益獨立,「我」再度成為自己人生的主角,比起22歲,第一次成為社會人仕,這一次的第二青春期,似乎真的可以成為一個真正的成年人了吧!?

不是新車,也不是新屋。中年人,該舊的,開始舊了,該壞的,逐漸要壞了,不會再天真的以為,還可以復舊如新,怎麼維持獨特性,呈現歲月的價值,反而是生活中的現實。






本文作者


黃秀美,現為健康專欄作家。















《國語日報.秀美姐姐說身體奧祕》專欄作者。

曾任《實和聯合診所》媒體公關、《明日報》及《台灣壹週刊》健康組記者。

部落格:名醫一點通
FB社群:名醫一點通




著作:《146位名醫問診 》




【筆尖下的希望】

「醫師也是人,病友需要的是期盼。」

近 30 年來,透過筆尖為病友找希望,為醫師傳遞專業價值。本站專題報導,由 33教練 黃秀美(健康專欄作家)親口採訪,親自撰寫。

醫學審閱:為求內容精確、沒有失真,本站醫師獨家專訪皆由受訪醫師親自審閱核可,確保讀者獲得正確、有溫度的衛教資訊。


【版權宣告】此處為作者個人作品集的原稿存檔。
  • ✍️ 作者: 33教練 黃秀美 (健康專欄作家)
  • 🌐 來源: 名醫一點通 • 33教練健康網
  • 📢 聲明: 歡迎在保留原文、連結的前提下分享,讓正確的衛教資訊能傳遞出去。未經授權,勿轉載、勿改寫。

許勝評牙醫師:看牙,為何需要拍X光?

文,黃秀美(健康專欄作家)


最近,牙科濫拍X光的新聞引發疑慮,不少民眾擔心因要看牙齒而增加輻射的露暴,但你知道嗎?雖然,很多人對輻射暴露有很深的恐懼感,事實上,日常生活中,本來就存在天然的輻射源。

輻射的單位是西弗,1西弗等於1000毫西弗,1毫西弗等於1000微西弗。所謂的輻射劑量,跟輻射的強度及暴露時間,都有關係。

即使什麼都沒有作,台灣民眾所接受的天然輻射量,每年約在一.六毫西弗,也就是1600微西弗。而有些生活嗜好,也會增加輻射的暴露量,舉例來說:抽菸者,光是每天抽一包菸,一年下來所增加的輻射劑量,可達9毫西弗,也就是9000微西弗。

另以搭飛機為例,台北松山機場飛日本羽田機場,來回一趟的輻射量,約在16微西弗左右(按編:根據National Institude of Radiological Sciences in Japan的資料),也就是說從台北搭機去日本東京玩,約會有16微西弗的輻射量暴露。若是從桃園國際機場飛美國西部的洛衫機國際機場,來回一趟的輻射量,則約在90微西弗左右(按編:根據行政院原子能委員會的資料)。

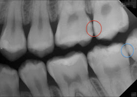
那牙科的X光片呢?牙科最常拍的X光片,包括有根尖片、咬合片、環口X光片,另外,與輻射劑量有關的常見影像檢查,還有牙科3D電腦斷層掃描。



根尖片:紅圈處的牙縫有初期蛀牙,牙冠有黑色陰影。
                藍圈處的牙縫沒蛀牙,可看到完整牙冠。
根尖片:約5微西弗。
咬合片:約5到7微西弗。
環口X光片:約15到25微西弗。
牙科3D電腦斷層掃描:視照射的模式而定,約30到120微西弗。

民眾會到牙科看診,常見目的一是洗牙,二是檢查,三是治療。我詢問過台北長庚紀念醫院顱顏齒顎矯正科主治醫師,什麼情況下,他會安排患者作X光的檢查,他的回答是,看過口內的狀況、牙科病史、潔牙習慣,若懷疑有肉眼無法確認的牙科問題,就需拍牙科的X光,甚至,牙科3D電腦斷層掃描來全面性地確認問題,藉以訂定合適的治療計畫。

舉例來說:一位口腔衛生維持得不好、潔牙時,沒有使用牙線清潔牙縫的習慣,而懷疑有肉眼看不見的牙縫間蛀牙時,就會安排根尖片、咬翼片的拍攝。此外,如果有牙齦流血、發炎或是刷牙時,牙齦會流血,經過臨床檢查後懷疑有牙周的問題時,也會安排根尖片的拍攝。

【筆尖下的希望】

「醫師也是人,病友需要的是期盼。」

近 30 年來,透過筆尖為病友找希望,為醫師傳遞專業價值。本站專題報導,由 33教練 黃秀美(健康專欄作家)親口採訪,親自撰寫。

醫學審閱:為求內容精確、沒有失真,本站醫師獨家專訪皆由受訪醫師親自審閱核可,確保讀者獲得正確、有溫度的衛教資訊。


【版權宣告】此處為作者個人作品集的原稿存檔。
  • ✍️ 作者: 33教練 黃秀美 (健康專欄作家)
  • 🌐 來源: 名醫一點通 • 33教練健康網
  • 📢 聲明: 歡迎在保留原文、連結的前提下分享,讓正確的衛教資訊能傳遞出去。未經授權,勿轉載、勿改寫。

10/30/2014

楊雀戀營養師:血脂肪不是越低越好,太低太高都是異常!

文,黃秀美(健康專欄作家)


血脂異常,通常不痛不癢,卻與腦血管、心血管健康有密切關係,

當健康檢查有紅字時,該怎麼從飲食中作調整是一大重點,

吃植物油真的比動物油不容易塞血管?升膽固醇指數,又是什麼意思?


明明很少吃油炸食品,平常也不用豬油煮菜,為什麼作健康檢查時,膽固醇,仍然有紅字?其實,人體血中的膽固醇,不只來自於食物,而且飲食中的油脂,很多是屬於隱藏式的油脂,讓人不小心就吃下了過量的油脂及膽固醇並不自知 。


舉例來說:體內的膽固醇,只有部分來自食物,由肝臟自行合成的膽固醇約佔五○%,腸道自行合成的膽固醇約佔一五%,這些內生性的膽固醇,至少佔了六五%。當從飲食中吃了較多膽固醇時,肝臟會自動調控減少膽固醇的合成,讓血中膽固醇濃度維持在較正常的範圍,但若飲食中的膽固醇太過量,仍會使血中膽固醇升高,逐漸沈積在動脈血管內。


相反的,當有肝臟疾病,如:肝硬化時,肝臟合成膽固醇的能力,有可能受影響,讓血中的膽固醇濃度偏低。由於膽固醇是製造細胞膜的原料,在人體荷爾蒙中,也扮演重要的角色,缺少時,也有損健康。


我們作健康檢查時,常會在血液中檢驗的血脂肪有低密度脂蛋白(LDL)、高密度脂蛋白(HDL)、三酸甘油酯(TG)的濃度。


到底這些不同的血脂肪,代表什麼意義?那些跟腦血管、心血管健康的關係較密切?本週由專精膳食營養保健的楊雀戀營養師分享血脂異常時,該怎麼作好飲食及生活調整的關鍵養生之道。

【筆尖下的希望】

「醫師也是人,病友需要的是期盼。」

近 30 年來,透過筆尖為病友找希望,為醫師傳遞專業價值。本站專題報導,由 33教練 黃秀美(健康專欄作家)親口採訪,親自撰寫。

醫學審閱:為求內容精確、沒有失真,本站醫師獨家專訪皆由受訪醫師親自審閱核可,確保讀者獲得正確、有溫度的衛教資訊。


【版權宣告】此處為作者個人作品集的原稿存檔。
  • ✍️ 作者: 33教練 黃秀美 (健康專欄作家)
  • 🌐 來源: 名醫一點通 • 33教練健康網
  • 📢 聲明: 歡迎在保留原文、連結的前提下分享,讓正確的衛教資訊能傳遞出去。未經授權,勿轉載、勿改寫。

10/28/2014

葉國偉醫師:咳不停、咳到吐,居然是氣喘?

凌晨睡到三、四點,氣溫涼涼的,睡意正濃的時候,會咳到醒過來;上體育課,玩得正興奮時,連續咳咳咳不停,要小心可能是氣喘在作怪哦!



文,黃秀美(健康專欄作家)

我們身體的呼吸系統,從鼻腔開始,可分為上、下呼吸道,上呼吸道有鼻腔、咽部、喉部,下呼吸道有氣管、支氣管跟肺臟,位於胸腔的肺臟,質地像濕濕有很多洞洞的海棉,當空氣從鼻子吸進身體裡,會經由咽喉到達氣管、支氣管及肺泡,進行氣體的交換,一方面把二氧化碳排出體外,另一方面又把氧氣滲入血液後,先運送到心臟,再輸送到全身。


入秋後,天氣變得冷冷的,是感冒病毒最喜歡的季節,潮溼的氣候,也有利於常見過敏原塵蟎的生長。許多有過敏體質的小朋友,往往在溫差急驟變化又感冒後,氣管變得比較敏感、不穩定,又接觸到過敏原,氣管、支氣管會收縮、發炎,讓痰液變多,這會啟動呼吸道的保護機制,出現咳嗽的症狀,咳得厲害時,也有可能會突然喘起來。當氣喘發作時,也會讓支氣管的表皮剝離,在修復的過程,有可能會讓氣管、支氣管的組織變形,使得肺部的呼吸功能、肺活量變得比較差。


本身有過敏體質,家裡也有氣喘兒的林口長庚醫院兒童氣喘風濕科主任,也是臺灣兒科醫學會副秘書長葉國偉提醒,「這種季節交替的時刻,三天兩頭感冒,經常得看病、感冒後,又咳不停、痰很多、睡到半夜三、四點會咳到醒、上體育課時,不斷在咳嗽,都要小心是不是氣管有發炎、不穩定,氣喘被誘發了,要請爸爸媽媽帶你去給兒童過敏氣喘風濕科的醫師作檢查。」

【筆尖下的希望】

「醫師也是人,病友需要的是期盼。」

近 30 年來,透過筆尖為病友找希望,為醫師傳遞專業價值。本站專題報導,由 33教練 黃秀美(健康專欄作家)親口採訪,親自撰寫。

醫學審閱:為求內容精確、沒有失真,本站醫師獨家專訪皆由受訪醫師親自審閱核可,確保讀者獲得正確、有溫度的衛教資訊。


【版權宣告】此處為作者個人作品集的原稿存檔。
  • ✍️ 作者: 33教練 黃秀美 (健康專欄作家)
  • 🌐 來源: 名醫一點通 • 33教練健康網
  • 📢 聲明: 歡迎在保留原文、連結的前提下分享,讓正確的衛教資訊能傳遞出去。未經授權,勿轉載、勿改寫。

10/23/2014

陳亮恭醫師:抗老逆齡,運動、營養、疫苗,缺一不可!從中年就開始儲存高齡資本

 文,黃秀美(健康專欄作家)


秋冬氣溫下降,也是流行性感冒、肺炎、帶狀皰疹好發的季節,

易感疲勞、肌力流失的中年人,該如何作好秋冬時節的保健?

流感疫苗、肺炎疫苗與帶狀皰疹疫苗,到底該怎麼打?


中年開始是骨骼肌、骨質、免疫功能,逐漸走向衰退的轉折點,與年長後是否會體力衰弱、行動受限,有相當密切的關係,可說是對抗老化最具價值的關鍵時刻。即便看起來很健康的中年人,若有高血壓、高血糖、血脂異常等三高疾病,一定要未雨綢繆,嚴格控制,以減少未來發生心血管與腦血管事件的機率。


面對老化,還有二個講起來很簡單,執行卻很困難的重點,一是運動,二是營養。中年人的運動重點,必須針對中年人流失非常快的骨骼肌、骨質作鍜練,因為骨骼肌跟骨質的量,將會決定年長後是看起來老態龍鍾、舉步維艱,還是生龍活虎、步態沈穩。


而中年過後的營養,很容易缺乏的,居然是優質蛋白。優質蛋白跟肌肉量的維持、體能有密切相關。中年人會缺優質蛋白,常是因三高疾病被提醒要少吃肉、少吃蛋,有可能導致優質蛋白的攝取量不足。


正值秋冬,氣溫下降且氣侯變化較大是流行性感冒、肺炎、帶狀皰疹好發的季節,當免疫力隨著年齡,逐漸下滑之際,往往也會發現以前得流行性感冒,發燒個二、三天,就會逐漸康復,現在卻常常一拖,就是一個星期。免疫較差的糖尿病患者、腎病患者或年長者,有時也容易長出疼痛難忍的帶狀皰疹。


到底中年人該怎麼運動、怎麼吃,又要如何作好抗病毒的秋冬保健?本週由專精抗老與逆齡醫學的陳亮恭醫師,分享從中年開始儲存抗老資本的關鍵養生之道。

【筆尖下的希望】

「醫師也是人,病友需要的是期盼。」

近 30 年來,透過筆尖為病友找希望,為醫師傳遞專業價值。本站專題報導,由 33教練 黃秀美(健康專欄作家)親口採訪,親自撰寫。

醫學審閱:為求內容精確、沒有失真,本站醫師獨家專訪皆由受訪醫師親自審閱核可,確保讀者獲得正確、有溫度的衛教資訊。


【版權宣告】此處為作者個人作品集的原稿存檔。
  • ✍️ 作者: 33教練 黃秀美 (健康專欄作家)
  • 🌐 來源: 名醫一點通 • 33教練健康網
  • 📢 聲明: 歡迎在保留原文、連結的前提下分享,讓正確的衛教資訊能傳遞出去。未經授權,勿轉載、勿改寫。

10/16/2014

鍾佩珍醫師:痛到夜不成眠的五十肩,為何如此磨人?

  文,黃秀美(健康專欄作家)


肩膀僵硬,連要舉起手臂,梳頭髮、穿衣服都卡卡的,

睡到半夜,還會因為肩膀不適而痛到夜不成眠,

到底五十肩跟肩膀酸痛有何差異?得五十肩該怎麼辦?


肩關節是人體活動度最高的關節,上臂的肱骨,只有淺淺靠在肩胛骨上,主要是由肩關節深層的四條旋轉肌群,包括上緣的棘上肌、下緣的棘下肌、內側的肩胛下肌、環繞肩膀的小圓肌來作出各種需要動用到肩部的動作。


而五十歲左右,正值人生的中間點,智慧與腦力正盛,但肩膀的旋轉肌群,也已經累積了四、五十年的耗損。肌腱、韌帶雖老舊,但還不至於到損壞的程度,倘若有受傷、發炎現象時,肩膀往往會因疼痛不敢活動而使得肩關節逐漸有沾黏的現象,沾黏越嚴重,活動範圍越不靈活,肩膀越覺得僵硬,這就是俗稱的「五十肩」。常見單側先發生,且因成雙成對的身體結構,耐用期差距不大,當一側發生問題時,另一側的使用率勢必增加,因此,未來另一側肩膀,再發生五十肩的機率也不低。


五十肩的進行是不知不覺的,往往要做以下的動作時,才會發現,如:男性,無法拿長褲後方的皮夾,動作有些卡卡,女性則是無法順利扣好內衣的背扣,洗澡前,想脫套頭的上衣,居然無法靠自己作到;洗完澡,要拉上褲子,也意外出現困難。早上起床,無法舉起手臂梳頭,晚上躺在床上睡覺時,若翻身壓到患側手臂,常會因發炎,痛到無法忍受而睡不好,對生活品質造成負面的影響,也會造成日常活動的不便。


到底五十肩跟肩膀的肌腱炎,有何不同?為何又叫「冰凍肩」、「凝肩」?經常打電腦會更容易得五十肩?本週由專精五十肩與肌腱炎鑑別診斷與治療的鍾佩珍醫師,分享肩關節保養的關鍵養生之道。


關鍵一:僵硬得像冰凍過的肩膀,就是五十肩


冷凍庫裡的食物,最大的特色,就是凍到硬綁綁。而五十肩之所以被稱作是「冰凍肩」、「凝肩」,就是因為肩膀會很礓硬,像被冰凍過,失去彈性、難以動彈、有如凝固的肩膀。如果置之不理,肩關節的活動角度會越來越受限,影響日常生活的自理能力。


要怎麼避免罹患五十肩?最重要的是,要能理解中年的身體,就像中古車,必須好好保養,適度鍜鍊,才能延長使用期限。尤其是肩膀上緣的棘上肌,最容易受到壓迫磨擦,產生撕裂傷。


以上班族來說,勉強把手臂高舉過頭,取高處的重物,最有機會讓棘上肌受傷、疼痛而導致肩關節的沾黏,引發五十肩,建議每次要拿高處的東西時,能夠以椅子或梯子墊高,避免手臂高舉,改以平行移動的方式,把高處的物品拿下來。外出時,也不要勉強用手提太重的隨身用品,可善用購物車或有附輪子的行李箱來分擔重量。


平時使用電腦時,要適度的休息,多注意姿勢,手肘宜輕輕放在桌面上打字,可讓肩膀處於放鬆的姿態。最忌手肘懸空,用力高聳肩膀打字,這會讓肩頸很緊繃、不適,增加罹患五十肩的機會。


而在作居家打掃時,擦地板、吸地板的動作,也常常需要把手臂重覆往前伸長,久而久之,也有可能會累積出傷害,讓肩膀提早退化,建議可以善用科技家電,像是自動吸塵的掃地機器人來代勞,也可減少肩關節的施力。


關鍵二:改善肩關節靈活動,居家扶牆運動不可少


而有些手臂無力,抬不起來的肌腱發炎,常常被誤認是五十肩,該如何分辨?可由專業的復健科醫師,以被動式的推拉動作,來作關節各個活動角度的測試。一般來說,若只有肩膀疼痛、無力,卻沒有關節僵硬、角度受限,就還不是五十肩。但若持續因肌腱發炎而不敢活動肩膀,未來很有機會進展成五十肩。


不管是肩部的肌腱炎或五十肩,對每天都要活動的肩膀來說,都是災難,在發炎期,有必要使用消炎藥物減少發炎、降低疼痛,也可接受專業的復健治療,如:肩膀的熱敷,電療來減輕因發炎造成的不適。而五十肩患者的居家扶牆運動,逐漸把僵硬的肩關節拉開,增加活動角度,也相當重要。可面對牆壁站好,把手臂打直扶著牆壁,用手指慢慢往上爬高,直到爬到不能爬時,停留五秒,再慢慢爬下來。這套動作,可重覆作五到十次,耐心的作,可逐漸增加肩關節的靈活度。


關鍵三:有了五十肩,游蛙式比自由式更適合


等到肩膀往上的角度,可達一百二十度(正常是一百八十度)左右時,可嘗試躺在床上,把手舉高,利用地心引力的力量,把沾黏的肩關節,角度再拉得開一些。如果會游泳,建議可游蛙式來把沾黏的角度拉開,但較不建議游自由式,因游自由式時,划手的動作較吃重,且所使用主要的肌群,正是肩膀的旋轉肌群,有可能加重肩關節的局部壓力而難以負荷。


而即使是不會游泳的中年人或年長者,也鼓勵可多作水中的活動。因為,水有浮力,可提供身體支持與保護較不易有運動傷害,又有很大的阻力,可作運動的肌力訓練,提供關節穩定的力量。


光是直立在水中慢慢走動,靠著水的阻力,即可增加肌肉、肌腱的強度,達到增加身體柔軟度、關節活動力的目的,不管是對肩膀、頸部、腰部、髖部、膝蓋的關節,都會有正向的益處。初學者,可以從五分鐘、十分鐘、十五分鐘,慢慢增加到二次,每次十五分鐘,共三十分鐘來作日常訓練。每周可作三到五次,即可達到保養兼修護的目標。


保健:減緩五十肩上身的3要訣


退化引起的五十肩,恢復期因人而異,也和罹患嚴重的程度有關,兩個月至一年,都有可能,多注意日常養生,可增加肩關節的耐用期限,減緩退化程度。


TIP1:打電腦時,應避免高聳肩膀、手肘懸空,這種易讓肩膀過度用力的姿勢。

TIP2:不可高舉手臂,勉強拿高處物品,可踩椅子或梯子,以平行移動拿取物品。

TIP3:手臂伸直手指扶牆面,用肩膀力量慢慢爬上去,停5秒,增加肩膀活動度。




本文同步發表@商業周刊名醫問診專欄


  諮詢專家  

鍾佩珍醫師

現任:臺安醫院復健科主任

專長:五十肩、肌腱炎、關節炎、痛風


本文作者


黃秀美,現為健康專欄作家。















《國語日報.秀美姐姐說身體奧祕》專欄作者。

曾任《實和聯合診所》媒體公關、《明日報》及《台灣壹週刊》健康組記者。

部落格:名醫一點通
FB社群:名醫一點通




著作:《146位名醫問診 》







【筆尖下的希望】

「醫師也是人,病友需要的是期盼。」

近 30 年來,透過筆尖為病友找希望,為醫師傳遞專業價值。本站專題報導,由 33教練 黃秀美(健康專欄作家)親口採訪,親自撰寫。

醫學審閱:為求內容精確、沒有失真,本站醫師獨家專訪皆由受訪醫師親自審閱核可,確保讀者獲得正確、有溫度的衛教資訊。


【版權宣告】此處為作者個人作品集的原稿存檔。
  • ✍️ 作者: 33教練 黃秀美 (健康專欄作家)
  • 🌐 來源: 名醫一點通 • 33教練健康網
  • 📢 聲明: 歡迎在保留原文、連結的前提下分享,讓正確的衛教資訊能傳遞出去。未經授權,勿轉載、勿改寫。

10/14/2014

黃璟隆醫師:哈啾!哈啾!噴嚏打不停的過敏季又來了啦!

秋風起,鼻水落,一早醒來噴嚏連連,「水餃」包不停,又是鼻塞又是眼睛癢,為什麼有過敏性鼻炎會那麼難熬呢?


文,黃秀美(健康專欄作家)

在台灣每兩個學童,就有一個有過敏性鼻炎的困擾。最近,氣溫開始轉涼,清早起床準備上學前,是不是已經開始有打噴嚏、鼻塞、流鼻水的情況呢?有的小朋友,也有會有眼睛癢癢的、眼淚汪汪的過敏性結膜炎症狀,真是太難熬了。


由於鼻子是我們人體呼吸道的入口,鼻腔內的鼻甲具有調整空氣溫度及溼度的功能,鼻黏膜所分泌的黏液,則可吸附空間中的灰塵、異物。一旦吸入過敏原,產生過敏的反應,就會讓鼻甲水腫、鼻黏膜發炎、腫脹、有白色或透明的分泌物,出現打噴嚏、流鼻水、鼻塞的症狀。


但到底是什麼物質,最常讓人鼻子過敏、打噴嚏呢?在台灣最常見的兩大吸入性過敏原,一是塵蟎,二是蟑螂。這二種節肢動物的碎屑、分泌物、排洩物,都有可能讓有過敏體質的人,出現過敏症狀。

【筆尖下的希望】

「醫師也是人,病友需要的是期盼。」

近 30 年來,透過筆尖為病友找希望,為醫師傳遞專業價值。本站專題報導,由 33教練 黃秀美(健康專欄作家)親口採訪,親自撰寫。

醫學審閱:為求內容精確、沒有失真,本站醫師獨家專訪皆由受訪醫師親自審閱核可,確保讀者獲得正確、有溫度的衛教資訊。


【版權宣告】此處為作者個人作品集的原稿存檔。
  • ✍️ 作者: 33教練 黃秀美 (健康專欄作家)
  • 🌐 來源: 名醫一點通 • 33教練健康網
  • 📢 聲明: 歡迎在保留原文、連結的前提下分享,讓正確的衛教資訊能傳遞出去。未經授權,勿轉載、勿改寫。

10/09/2014

張學逸醫師:喉嚨卡卡,為何胃酸逆流超傷嗓音?

文,黃秀美(健康專欄作家)


三天兩頭,喉嚨疼痛、聲音沙啞,

連好好說幾句話、跟朋友唱個歌,都上氣不接下氣,

嗓音到底該怎麼作好保養?常常喉嚨發炎要注意什麼呢?


入秋後,天氣漸涼,逐漸進入感冒病毒活躍的季節。一感冒,就喉嚨痛、聲音沙啞是常見的症狀,特別是感冒後,還需要持續說話的人,更容易有「失聲」的困擾。這是因為發聲是一種精準而快速的運動,需要靠呼氣來推動兩側聲帶的振動來發出嗓音,聲帶的振動頻率,每秒可高達一百到三百次。


而聲帶又是很敏感的組織,一旦感冒發炎,聲帶的組織會腫脹,讓聲帶無法有效的振動和閉合,導致聲音嘶啞、發聲吃力。若勉強繼續說話,就像投手在手臂痠痛時,仍繼續賣力快速投球,當然會有運動傷害,易導致急性聲帶炎而失聲。由於,目前並沒有任何食物或特效藥,可以立即消除聲帶的發炎腫脹,當發聲吃力時,最重要且有效的保養方式,就是減少說話,讓聲帶充份養生休息。


若感冒休息一到兩周,聲帶還是沒有痊癒,或是明明沒感冒,在說話、唱KTV時,卻依然有發聲吃力、上氣不接下氣的情況,就表示可能還有其它影響發聲的問題,需就醫作進一步的診斷。


以動不動,就覺得喉嚨很痛、聲音沙啞,不斷想要清喉嚨為例,常要考慮是否合併有咽喉胃酸逆流的問題,這是影響現代人嗓音相當常見的原因。人類的咽喉比食道更敏感,但有咽喉胃酸逆流的患者,大部份不見得會有嘔酸水、心灼熱的胃食道逆流症狀,而是以喉痛聲啞、喉嚨卡卡、感覺喉嚨有痰,想要清喉嚨最為常見。


到底經常講話吃力、嗓音粗糙、吞口水有異物感,該怎麼辦?本週由專精咽喉嗓音鑑別診斷與治療的張學逸醫師,分享嗓音保健的關鍵養生之道。

【筆尖下的希望】

「醫師也是人,病友需要的是期盼。」

近 30 年來,透過筆尖為病友找希望,為醫師傳遞專業價值。本站專題報導,由 33教練 黃秀美(健康專欄作家)親口採訪,親自撰寫。

醫學審閱:為求內容精確、沒有失真,本站醫師獨家專訪皆由受訪醫師親自審閱核可,確保讀者獲得正確、有溫度的衛教資訊。


【版權宣告】此處為作者個人作品集的原稿存檔。
  • ✍️ 作者: 33教練 黃秀美 (健康專欄作家)
  • 🌐 來源: 名醫一點通 • 33教練健康網
  • 📢 聲明: 歡迎在保留原文、連結的前提下分享,讓正確的衛教資訊能傳遞出去。未經授權,勿轉載、勿改寫。

10/08/2014

陳麗萍牙醫師:孩子長了鯊魚牙,怎麼辦?

文,黃秀美(健康專欄作家)


最近,英國有個八歲的男孩布朗(Zak Brown),因為上排大門牙的二顆恆牙,直接長在乳牙的內側,造成乳牙與恆牙併存,同時有二排的上排大門牙,而被同學取了大白鯊(Jaws)的外號,被冠上鯊魚牙男孩之稱。

事實上,鯊魚的牙齒,有如輸送帶,有次我跟孩子去新加坡聖淘沙S.E.A.海洋館的鯊魚海域,還親眼看到鯊魚嘴裡有三排尖尖的牙齒併列,相當壯觀。據說,有些鯊魚的一生,可換上萬顆牙齒呢!


鯊魚牙男孩布朗的父母說,因為上排大門牙有二套牙齒,布朗得花比較多時間在刷牙上,雖然,並不致於會妨礙進食,但對發音有輕微的影響。

【筆尖下的希望】

「醫師也是人,病友需要的是期盼。」

近 30 年來,透過筆尖為病友找希望,為醫師傳遞專業價值。本站專題報導,由 33教練 黃秀美(健康專欄作家)親口採訪,親自撰寫。

醫學審閱:為求內容精確、沒有失真,本站醫師獨家專訪皆由受訪醫師親自審閱核可,確保讀者獲得正確、有溫度的衛教資訊。


【版權宣告】此處為作者個人作品集的原稿存檔。
  • ✍️ 作者: 33教練 黃秀美 (健康專欄作家)
  • 🌐 來源: 名醫一點通 • 33教練健康網
  • 📢 聲明: 歡迎在保留原文、連結的前提下分享,讓正確的衛教資訊能傳遞出去。未經授權,勿轉載、勿改寫。

10/02/2014

楊智超醫師:睡到半夜或是運動時的腳抽筋有多惱人?

文,黃秀美(健康專欄作家)


很多人都有小腿抽筋而僵硬、疼痛的經驗, 

尤其是睡到半夜或是運動時的抽筋,最讓人困擾不已。

到底經常抽筋,怎麼辦?那一類型的抽筋,得要特別注意?


運動、睡覺時,突然抽筋是日常生活中,常見的不適。抽筋其實是骨骼肌快速強烈的收縮,造成局部肌肉的僵硬與疼痛,最常發生在小腿肚。大多數的抽筋,在幾分鐘內,也會逐漸自行紓解,並不需要過度擔心。


骨骼肌,又稱橫紋肌,是以肌腱固定在骨骼的兩端,骨骼肌要順利收縮,靠得是運動神經來傳導神經訊號。這些神經纖維,在人體內,就像複雜的電線系統,而神經外緣包裹著髓鞘,可加速神經訊號的傳導,並且具有絕緣體的功能,避免電線因漏電而短路。


骨骼肌會快速強烈收縮,有許多生理及病理的原因,尤其是在某些姿勢下,肌肉的縮短較會引發抽筋,例如:游泳或平躺睡覺時。當人體出現電解質不平衡、或運動神經有病變時,也會導致神經訊號不穩定,造成不正常的放電,就像電線三不五時頻頻漏電、秀逗,而讓骨骼肌抽筋頻繁。若程度或頻率高到令人困擾,建議要到神經內科,接受進一步的檢查與評估。


到底抽筋時,該怎麼處理最恰當?經常半夜抽筋,有那些方式,可以降低發生的頻率?那一類的抽筋不可輕忽?本週由專精神經肌肉疾病鑑別診斷與治療的楊智超醫師,分享減少抽筋的關鍵養生之道。

【筆尖下的希望】

「醫師也是人,病友需要的是期盼。」

近 30 年來,透過筆尖為病友找希望,為醫師傳遞專業價值。本站專題報導,由 33教練 黃秀美(健康專欄作家)親口採訪,親自撰寫。

醫學審閱:為求內容精確、沒有失真,本站醫師獨家專訪皆由受訪醫師親自審閱核可,確保讀者獲得正確、有溫度的衛教資訊。


【版權宣告】此處為作者個人作品集的原稿存檔。
  • ✍️ 作者: 33教練 黃秀美 (健康專欄作家)
  • 🌐 來源: 名醫一點通 • 33教練健康網
  • 📢 聲明: 歡迎在保留原文、連結的前提下分享,讓正確的衛教資訊能傳遞出去。未經授權,勿轉載、勿改寫。